
【記者葉柏成/新北報導】衛生福利部臺北醫院心臟內科為提供大新莊地區民眾醫學中心等級的最新心臟醫療服務,科於去年7月引進「血管內震波碎石術」(Intravascular Lithotripsy, IVL),迄今已順利完成超過17例高難度冠狀動脈鈣化導管手術,展現心臟血管中心團隊在複雜高風險介入手術治療上的卓越專業的技術與穩健成熟的實力。
心臟內科黃啟銘主任指出,此項技術的導入,不僅大幅提升嚴重冠狀動脈鈣化病灶患者心導管手術的成功率與治療效果,更能有效降低血管損傷與破裂的風險,象徵臺北院冠狀動脈介入治療邁入全新紀元。
他說,「血管內震波碎石術」是革命性的心導管治療方法,醫師透過專屬的球囊導管送入病灶位置,並在低壓下釋放高能量的聲波震動,類似體外碎石治療的概念,能選擇性擊碎血管壁內堅硬的鈣化沉積,讓原本如石頭般堅硬的血管重新變得柔韌,進而安全地完成氣球擴張與支架置放。

其最大特點在於「精準、低壓、安全」:只針對鈣化病灶發揮作用,避免對正常血管組織造成過度傷害,讓原本最棘手的「嚴重鈣化病灶」治療變得更為可行與穩定。
黃啟銘表示,傳統方式如「一般氣球擴張術」,雖能擴張血管,但面對嚴重鈣化病灶常力有未逮,且易導致血管破裂;「切割氣球擴張術」是利用刀片切割血管斑塊,但對於深層或環狀鈣化仍有限制;「冠狀動脈旋磨術」(Rotablator)透過高速鑽石磨頭鑽削斑塊,雖可處理堅硬病灶,但手術時間長、技術門檻高,且有血管解離或慢流現象的風險。
相較之下,「血管內震波碎石術」具備多項明顯優勢,包括低壓操作、顯著降低血管破裂風險,安全性高;能有效處理最嚴重的環狀與深層鈣化病灶,提高手術成功率;適用於以往困難處理、支架難以完全擴張的重度鈣化血管,並可大幅減少傳統旋磨術常見的併發症,提升整體手術安全性。

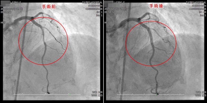
例如;臺北醫院使用血管內震波碎石術,已成功協助多位高風險病人完成困難治療。近期一名年近80歲的病人因胸口不適,檢查發現左前降支的前中段約有80%以上的狹窄病灶,且血管壁存在嚴重鈣化,最狹窄處呈現雙側鈣化,高度疑似環狀型鈣化病灶,屬於傳統氣球擴張成功率低、且血管傷害風險極高的困難病灶。
經醫療團隊與病人及家屬充分說明後,採用血管內震波碎石術,透過高能量震波選擇性擊碎血管壁內鈣化沉積,使血管恢復柔韌度,進而順利完成血管擴張與支架置放,成功完成複雜性的冠狀動脈介入手術,手術過程順利,病人術後恢復情況良好,胸口不適症狀亦獲得明顯改善。
